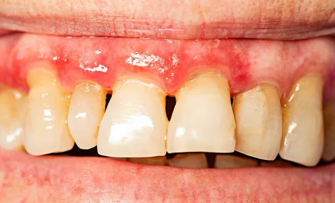
歯周病とは、細菌感染により歯肉が炎症を引き起こすことで生じる病気です。
食べ物の磨き残しでできる「歯垢(プラーク)」に細菌が溜まり、歯肉の周辺に炎症を起こします。
このまま放置していると歯と歯の間(歯周ポケット)が深くなり、歯を支えている土台を脆くしてしまいます。
最後には歯の根部分が溶け出してグラグラとするようになり、大切な歯を抜歯しなければならないこともあるのです。

Dental Services
気が付かないうちに進行しているケースの多い歯周病。
放っておくと、口臭だけでなく最悪のケースでは大切な歯を失う事態に繋がりかねません。
歯周病はどんな病気なのか、また、ステージ別の治療方法の流れについてご紹介します。
歯周病とは、細菌感染により歯肉が炎症を引き起こすことで生じる病気です。
食べ物の磨き残しでできる「歯垢(プラーク)」に細菌が溜まり、歯肉の周辺に炎症を起こします。
このまま放置していると歯と歯の間(歯周ポケット)が深くなり、歯を支えている土台を脆くしてしまいます。
最後には歯の根部分が溶け出してグラグラとするようになり、大切な歯を抜歯しなければならないこともあるのです。

歯肉の上の歯石(歯垢(プラークが石のように硬くなったもの))や歯周ポケット内のプラークを除去し、正しいブラッシングを継続することで改善が見込めます。
その後は定期的な通院で、歯石やブラッシングの状態を確認します。

歯石とプラークを除去し、ご自宅でのブラッシングを継続します。
ただし、この状態になるとセルフケアだけでは難しく、必要に応じて歯茎を切開するフラップ手術などの歯周外科処置を行います。

歯石・プラークを除去した上で、フラップ手術により見えない歯石を数回に分けて除去します。
歯を支えている組織を回復させる「再生手術」や歯のぐらつきをカバーする「歯周補綴」などで、可能な限り歯の保存を試みますが、状態によっては抜歯になる場合もあります。

歯は一度ダメージを受けると、完全に元の形に戻すことはできません。
歯周病になる前から、歯の状態を丁寧に確認し、むし歯や歯周病を予防する「予防歯科」で、歯の健康を守っていくことが大切です。
お気軽に
ご連絡ください!
